Home
|
Contact us
|
Blog
|
Español
(619) 656-3100
Meet Dr. San Aye Tin
|
Our Staff
|
Procedures
|
Photo Gallery
|
FAQ’S
|
Online Forms
|
Post-Op
TEETH BONDING
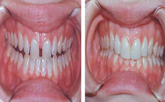
Patient 1
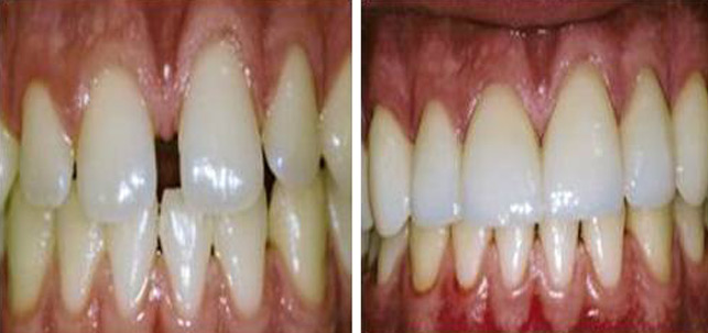
Patient 2
Before
After
Before
After
Patient 3
Patient 4
Before
After
Before
After
Patient 5
Before
After
.............................................................................................................................................................................................................................................................................
TEETH WHITENING
Patient 1
Before
After
Patient 2
Patient 3
Patient 4
1
2
Dr. San Aye Tin - Dentist
Home
|
About Dr.San Aye Tin
|
Procedures
|
FAQ's
|
Contact Us
|
Sitemap
Copyright © 2015, EastLake Dentistry. All rights reserved