Inicio
|
contáctenos
|
Blog
|
English
(619) 656-3100
Sobre el Dr. San Aye Tin
|
Nuestro Personal
|
Procedimientos
|
Galería de Fotos
|
Preguntas Frecuentes
|
Formularios
|
después del procedimiento
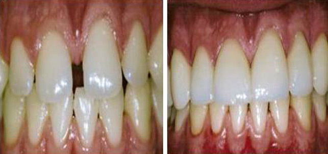
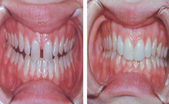
TEETH BONDING
Patient 1
Patient 2
Before
After
Before
After
Patient 3
Patient 4
Before
After
Before
After
Patient 5
Before
After
.............................................................................................................................................................................................................................................................................
TEETH WHITENING
Patient 1
Before
After
Patient 2
Patient 3
Patient 4
1
2
Inicio
|
Sobre el Dr. San Aye Tin
|
Procedimientos
|
Preguntas Frecuentes
|
contáctenos
|
Sitemap
Copyright © 2015, EastLake Dentistry. All rights reserved